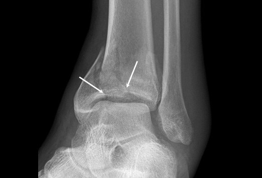
En medicina, se denomina fractura de Gosselin a un tipo especial de fractura ósea que afecta a la región distal de la tibia, cerca del tobillo. Se caracteriza por una rotura en forma de V en la región distal de la tibia que origina dos fragmentos óseos, uno anterior y otro posterior. Debe su nombre al cirujano francés Leon Athanese Gosselin (1815-1887) que realizó la primera descripción.[1][2][3] La fractura de Gosselin es un subtipo de las fracturas de pilón tibial, fracturas de la tibia que afectan a su metáfisis y epifisis inferior compremetiendo la articulación del tobillo.[4]
Referencias


